Home
About
Services
Dental Portfolio
Contact Us
Home
About
Services
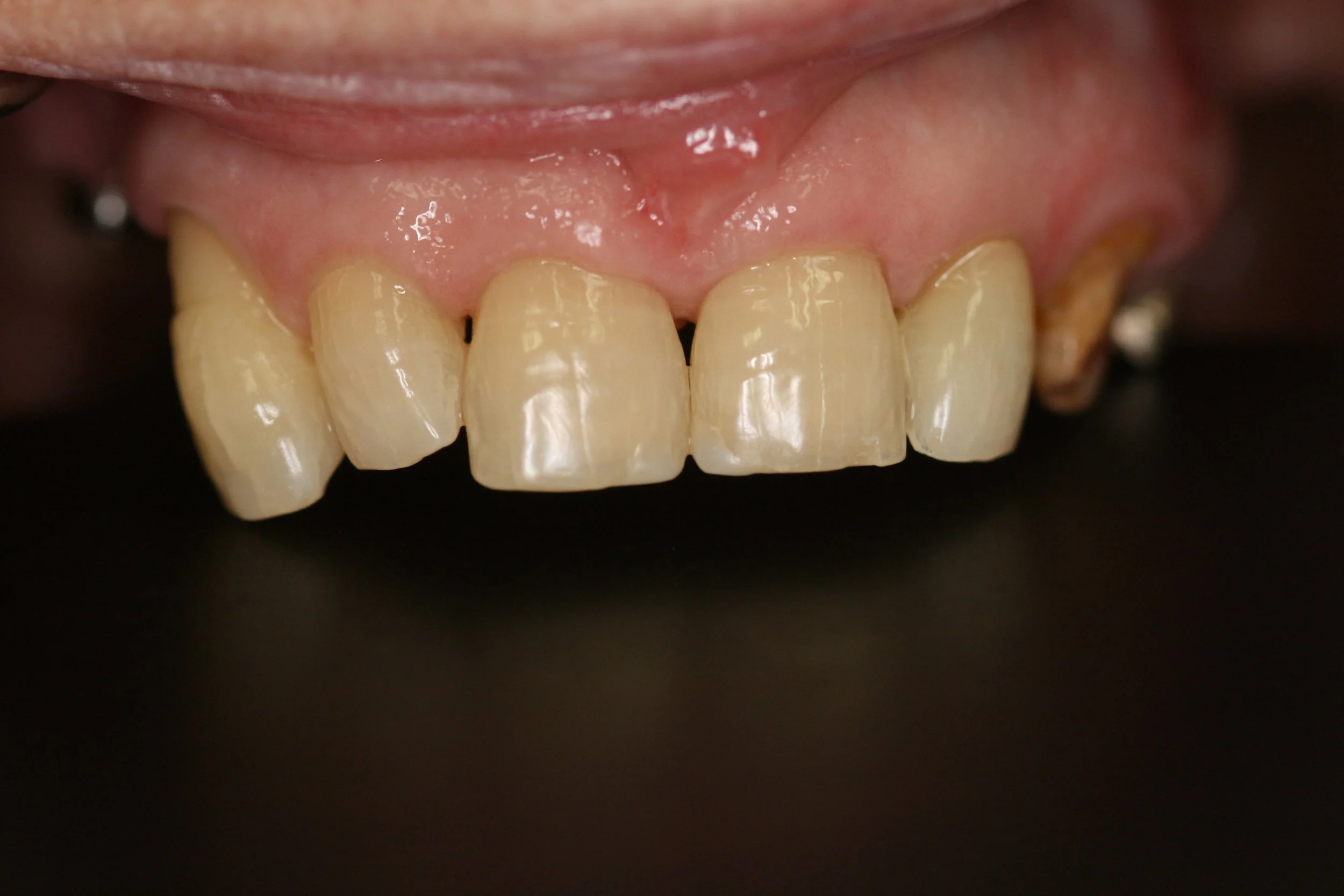
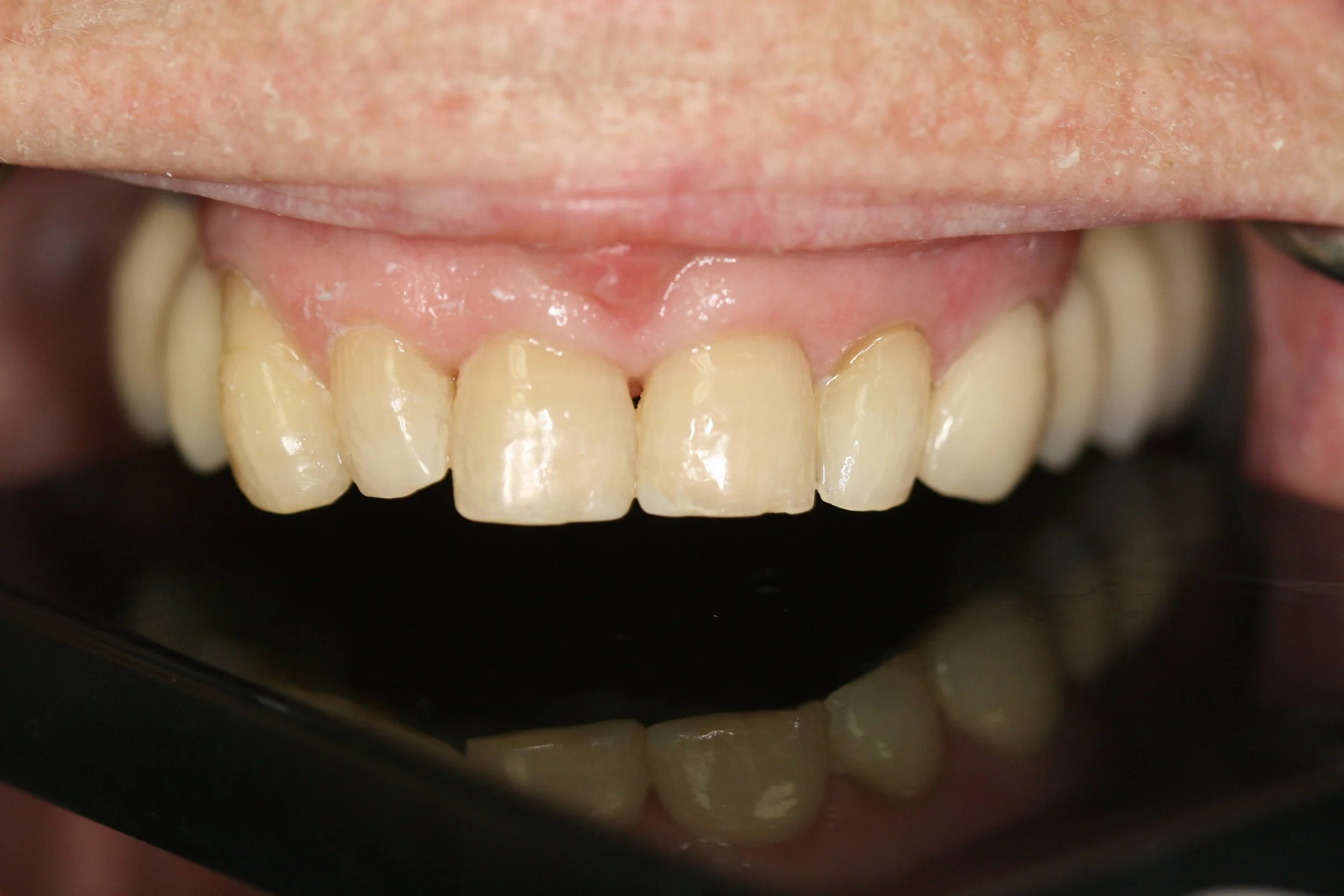
Dental Portfolio
Contact Us
Implants 2